POSTOPERATIVE POLYPS SCALE (POPS)™
Learn about the Snot Force Alliance's scale for measuring sinonasal polyposis after sinus surgery
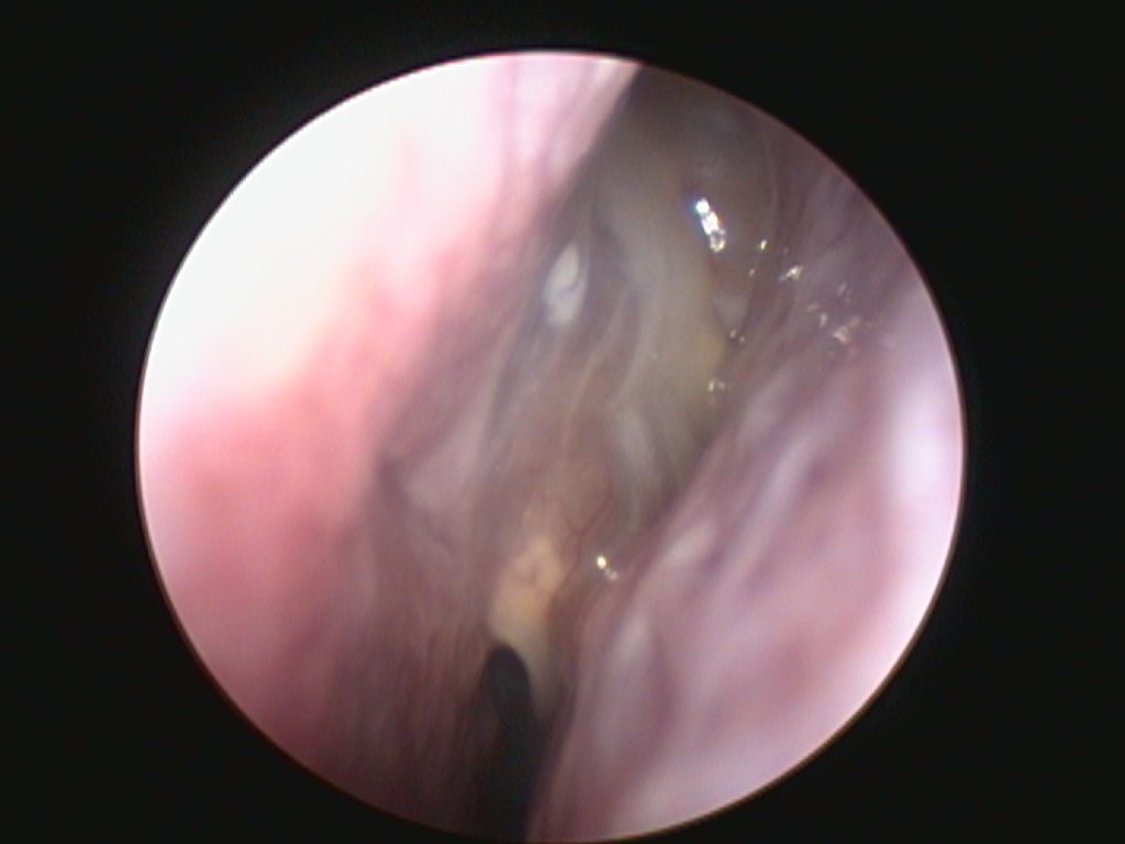
WHAT IS THE POSTOPERATIVE POLYPS SCALE (POPS)™?
The Research Coalition of the Snot Force Alliance recognized the need for a better way to grade sinonasal polyps after sinus surgery. The standard nasal polyps scales did not adequately measure what otolaryngologists and rhinologists see clinically on endoscopy. The Postoperative Polyps Scale (POPS) was developed to assist otolaryngologists clinically and during clinical trials assessing grade of sinonasal polyposis after surgery.
HOW DO YOU ACCESS THE POSTOPERATIVE POLYPS SCALE (POPS)™?
Thank you for your interest in the Snot Force Alliance Postoperative Polyps Scale (POPS). We appreciate your support in promoting widespread use of the scale. For clinical use and unfunded academic research, the scale is available for free.
To access the scale, we kindly request you to fill out a simple registration form. Once submitted, we will send you an email with the complete scale assets.
If you represent a pharmaceutical or medical device company and are interested in utilizing the scale for your clinical trials, please complete the form as well. Upon receiving your submission, we will provide you with our pricing schedule that outlines our simple pricing structure.
Please let us know if you have any further questions or require assistance with anything else.
Request
Access to the Postoperative Polyps Scale (POPS)™
POPS is free to use for clinical and academic purposes! Just complete the form below so we can email you the scale. Thank you for your interest in our scale.







